T04: @ Posterosuperior cuff with augmentation
Surgeon: M. SCHEIBEL*

CHAIRMAN: Karl WIESER

MODERATOR: Pascal BOILEAU

SHOULDER CASE SUMMARY:

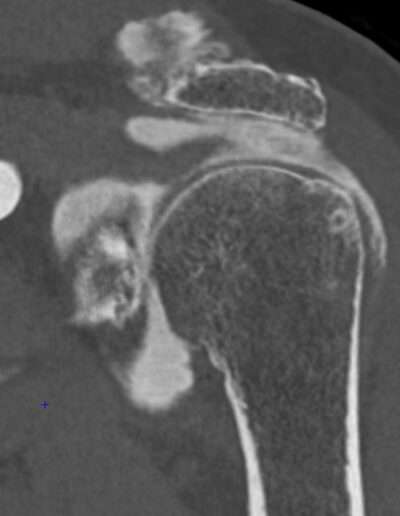
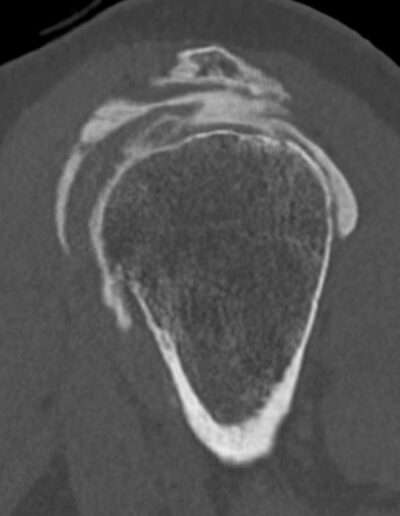
Shoulder Left
Patient 37 y/o, Male, right-handed
Profession Customs officer
History
  • 2005: Spontaneous episodes of subluxation – recurrence every year
  • 01/2024: Posterior dislocation, reduced in ED
Physical Exam
  • Complete active ROM
  • Normal cuff testing
  • O’Brien: Positive
  • Kim test: Positive
  • Anterior apprehension test: Negative
Scores
VAS: 2
SSV: 80
WOSI: 57
Constant: 49
Walch-Duplay: 32
Rowe: 55
Favicon ALS 2027
Privacy Overview

This website uses cookies so that we can provide you with the best user experience possible. Cookie information is stored in your browser and performs functions such as recognising you when you return to our website and helping our team to understand which sections of the website you find most interesting and useful.