T06: TSA V-Shape
Surgeon: Thibault LAFOSSE

CHAIRMAN: Pascal BOILEAU

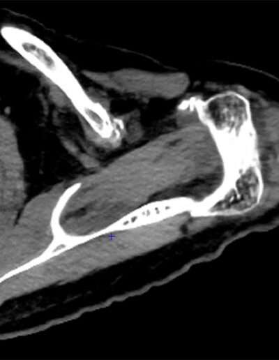
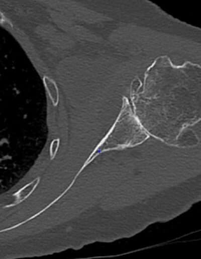
SHOULDER CASE SUMMARY:

Shoulder Left
Patient 81 y/o, Female, right-handed
Profession / Sports Retired from manufacture / Gym, walking
History
  • Painful loss of mobility for 3 years
  • Infiltration and viscosupplementation without improvement
Physical Exam
  • AE: 180° / 150°
  • ABD: 180° / 140°
  • ER: 45° / 10°
  • IR: T8 / T12
  • Cuff testing and deltoid: normal
Scores
VAS: 7
SSV: 75
Constant: 37
ASES: 37

PLANIFICATION VIDEO:

Favicon ALS 2027
Privacy Overview

This website uses cookies so that we can provide you with the best user experience possible. Cookie information is stored in your browser and performs functions such as recognising you when you return to our website and helping our team to understand which sections of the website you find most interesting and useful.