T12: @Latissimus dorsi transfer for posterosuperior RCT
Surgeon: Karl WIESER

SURGEON: Karl WIESER

CHAIRMAN: Jan LEUZINGER

MODERATOR: Jon J.P. WARNER

SHOULDER CASE SUMMARY:

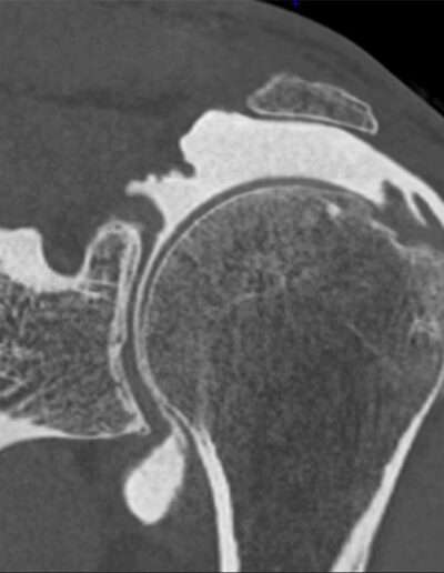
Shoulder Left
Patient 45 y/o, Male, right-handed
Profession/Sport Mountain guide / Ski, alpinism
History
  • 2003: Open surgery for AC joint dislocation (Dr. Elsewhere)
  • 10/2024: Rotator cuff repair (Dr. Thibault LAFOSSE)
  • Initial postoperative course uneventful
  • Pain and instability 3 months postoperative, triggered by carrying a bag
Physical Exam
  • Full and symmetric active and passive ROM
  • EA: 180° / 180°
  • ABD: 180° / 180°
  • Jobe: 10+5
  • PUT: 10+5
  • Whipple: 10+4
  • Yocum: Positive
  • BHT: 20
  • BPT: 20
  • RER: 10+4
  • Lift Off: Negative
  • O’Brien: Negative
Scores
VAS: 2
SSV: 65
Constant: 59
ASES: 72
QuickDASH: 23
Favicon ALS 2027
Privacy Overview

This website uses cookies so that we can provide you with the best user experience possible. Cookie information is stored in your browser and performs functions such as recognising you when you return to our website and helping our team to understand which sections of the website you find most interesting and useful.