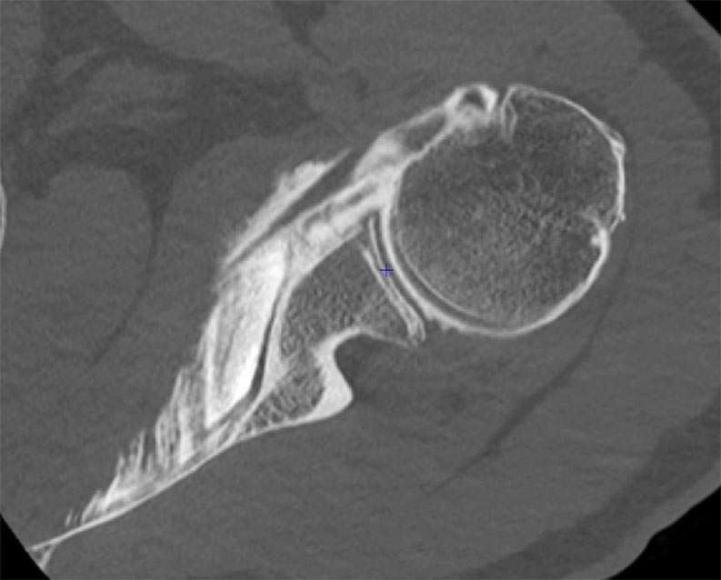
F03: @SUBSCAPULARIS REPAIR
Surgeon: J. C. YOO*

SURGEON: Jae Chul YOO

CHAIRMAN: Jean KANY

MODERATOR: Jan LEUZINGER

SHOULDER CASE SUMMARY:

Shoulder Left
Patient 55 y/o, Male, left-handed
Profession State Employer
History Shoulder pain for 3 years
Physical Exam
  • AE: 180° / 180°
  • ER: 45° / 45°
  • ER2: 90° / 90°
  • IR: T12 / L1
  • Jobe: 10+5
  • PUT: 10+5
  • RER: 20
  • Yocum: Positive
  • Whipple: 10+4
  • BPT: 20
  • BHT: 10+4
  • ARES: Positive
  • ARIS: Positive
Scores
VAS: 7
SSV: 51
Constant: 58
ASES: 48
Favicon ALS 2027
Privacy Overview

This website uses cookies so that we can provide you with the best user experience possible. Cookie information is stored in your browser and performs functions such as recognising you when you return to our website and helping our team to understand which sections of the website you find most interesting and useful.