T11: @Latissimus Dorsi and Teres Major transfer for posterosuperior rotator cuff
Surgeon: Jean KANY

SURGEON: Jean KANY

MODERATOR: Raul BARCO

SHOULDER CASE SUMMARY:

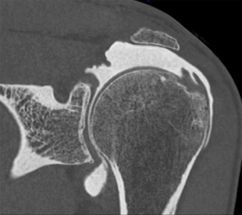
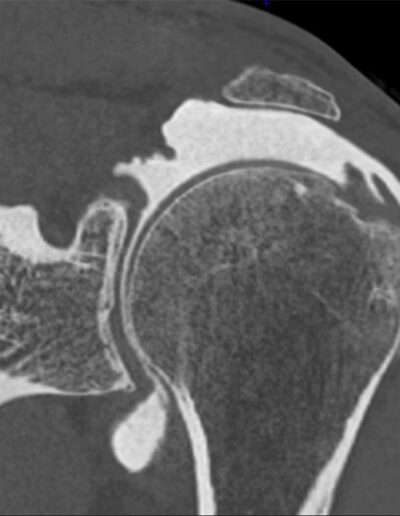
Shoulder Right
Patient 76 y/o, Male, right-handed
Profession/Sport Retired surgical equipment salesman / Base jumping, jogging, wingsuit, dancing
History
  • 03/2021: Supraspinatus + Infraspinatus double-row repair (Dr. Laurent LAFOSSE)
  • 06/2021: Revision SSP+ISP double-row repair (Dr. Laurent LAFOSSE)
  • 12/2024: Pain and weakness in ER2
Physical Exam
  • AE: 180° / 180°
  • ABD: 180° / 180°
  • ER1: 20° / 45°
  • IR: T12 / T12
  • Jobe: 20
  • PUT: 10+5
  • Whipple: 10+4
  • BPT: 20
  • BHT: 20
  • Yocum: Negative
  • ER: 10+4
  • O’Brien: Negative
Scores
VAS: 7
SSV: 80
ASES: 65
Constant: 63
Favicon ALS 2027
Privacy Overview

This website uses cookies so that we can provide you with the best user experience possible. Cookie information is stored in your browser and performs functions such as recognising you when you return to our website and helping our team to understand which sections of the website you find most interesting and useful.